Varni Dental & Medical Clinic

Redefining Dental Care With a Personal Touch

At Varni Dental & Medical Clinic, we are committed to providing exceptional dental care with a personalized approach, ensuring your comfort and smile come first.

Gentle Care for Pain-Free Smiles

Trusted Dental Experts in Gandhinagar

Experience compassionate and professional dental treatment at Varni Dental & Medical Clinic — where your smile and comfort are always a priority.

Advanced Dentistry with Emergency Care

Equipped for Every Dental Need

From routine checkups to emergency care with oxygen and ECG support, Varni Dental & Medical Clinic ensures safe, expert treatment for every patient.

About Varni

Experience Care That Go Beyond Your Teeth

Varni Dental & Medical Clinic in Gandhinagar, offers modern care with experienced dentists and a friendly team, providing gentle treatments tailored to your needs.

Varni Dental & Medical Clinic is a state-of-the-art dental facility located in Kudasan, Gandhinagar. Our experienced team of dentists and skilled assistants provide gentle, high-quality care tailored to each patient’s unique needs.

We are equipped to handle all types of dental treatments from routine cleanings and cosmetic enhancements to complex procedures requiring critical care support such as oxygen and ECG monitoring. Our goal is to deliver a pain-free, safe, and personalized dental experience.

2+

Expert Doctor

10+

Years Of Experience

Our Services

Our Dental Services – Caring for Every Smile

Why Choose Varni Dental Multispeciality Clinic

Delivering Trusted Care with Technology and Compassion

Compassionate & Critical Care

Equipped with oxygen and ECG facilities, we ensure safe and responsive care during dental emergencies. Our clinic maintains a calm environment and follows strict hygiene standards to support patient comfort in every critical situation.

Comprehensive Dental Services

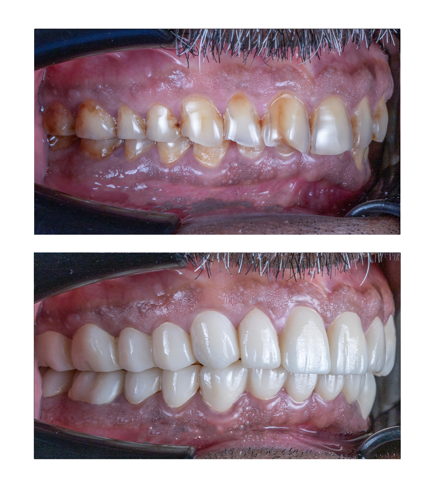
From routine cleanings and checkups to root canals, crowns, and cosmetic treatments — we offer complete and affordable dental care under one roof, saving you time while ensuring consistent, high-quality results.

Experienced Dental Professionals

Our experienced team of two skilled dentists and three trained assistants ensures every patient receives personalized, attentive care. We combine clinical expertise with a patient-first approach for the best dental outcomes.

Modern Equipment & Technology

Our clinic is equipped with the latest dental technology to deliver accurate diagnoses and efficient treatments. Digital X-rays,Advance Intraoral Camera, intraoral scanners, and advanced sterilization tools ensure precision, safety, and comfort for every patient.

Your Smile, Our Mission

Step-by-Step Dental Care Journey

From Our Patients

Stories Of Exceptional Care

2K+ Review

“I can confidently say my recent visit to Varni Dental & Medical Clinic was the best dental experience I ve ever had. If youre looking for a practice that prioritizes patient comfort, this is it! My wifes procedure”...Read More

“This clinic is really good. Dhruv and his team are really professional, experienced and knows how to deal with patients. I had a painless treatment. The doctor who attended me was very polite and patient”...Read More

“I recently completed my dental treatment and had an exceptional experience throughout the process. Both doctors were highly professional and provided thorough guidance about maintaining good oral”...Read More

“Thank you Dr Dhruv sir and your team for all the kind support and everything. I am fully satisfied with my treatment at your clinic. I found the hospital really very nice, clean and hygienic”...Read More

“Thank you very much, sir and maam. Dr. Dhruv and Dr. Kruti are the best at their jobs. They treat you with minor pain and medications, a super trait for a doctor. I am so thankful for cleaning my teeth”...Read More

“I had a lot of dental problems , My teeth were totally zigzag in position with spacing problem and have visited many clinic but this one stands out from all the other clinic . Well equipped clinic with”...Read More

Dental Care Team

Behind Our Exceptional Care

Dr. Dhruv Swaminarayan

Dr. Dhruv Swaminarayan

B.D.S., M.D.S.

Oral Medicine & Radiology

Dr. Kruti Swaminarayan

Dr. Kruti Swaminarayan

B.D.S., M.D.S.

Conservative Dentistry & Endodontics

Caring for Your Community

Contact US

Book An Appointment